E-Mail schreiben 0811 998286-0 Instagram

Gynäkologische
Ultraschalldiagnostik
mit Präzision & Komfort

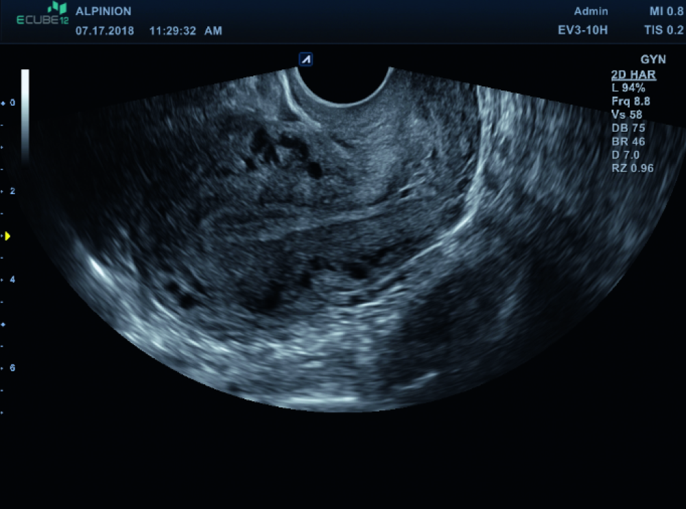
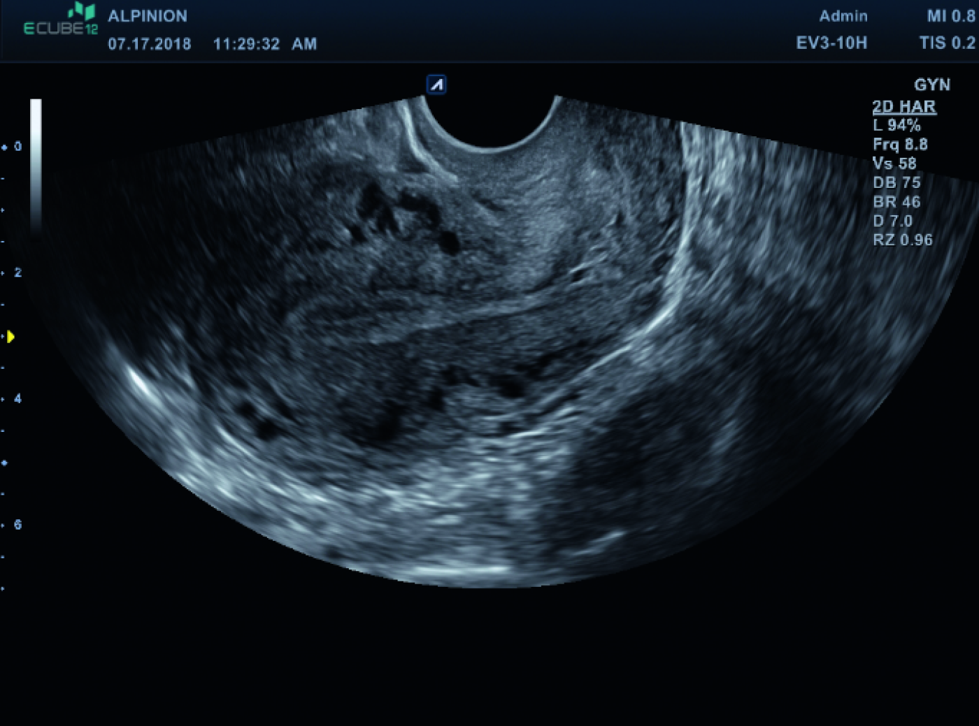
Moderne Frauenheilkunde stellt höchste Anforderungen an Bildqualität, Bedienkomfort und Vielseitigkeit. ALPINION unterstützt Gynäkologinnen und Gynäkologen mit leistungsstarker Ultraschalltechnologie, die sowohl im Praxisalltag als auch im klinischen Umfeld überzeugt. Unsere Systeme liefern hochauflösende Bilder bei transabdominaler und transvaginaler Sonografie – für eine sichere, schnelle und präzise Diagnostik in allen Phasen der Frauengesundheit.

Warum ALPINION
in der Frauenheilkunde?

Für höchste Ansprüche in der gynäkologischen Diagnostik

  • Kristallklare Bildgebung – auch bei feinsten Strukturen

  • Ergonomisches Design für komfortables Arbeiten im Untersuchungsalltag

  • Speziell entwickelte Endokavitärschallköpfe für höchsten Patientinnenkomfort

  • Erweiterte Doppler-Technologie zur Gefäßdarstellung und Beurteilung pathologischer Befunde

  • Intuitive Bedienoberflächen – für effiziente Arbeitsabläufe in Praxis & Klinik

Unsere Systeme für Ihre Anforderungen

X-CUBE 70

Hier steht eine kurze Info zum Produkt. Mehr Infos.
mehr

Optimale Sonden
für gynäkologische
Anwendungen

ALPINION besitzt den großen Vorteil, dass alle Systeme, vom Schallkopf bis zur Soft- und Hardware, eigenständig entwickelt werden.

SC2-11H
Pädiatrie, Kardiologie, Gefäße
High Density
Extreme High Density
Einkristall
X+ Crystal Signature
PowerView
Weitwinkel
Biopsie-Kit verfügbar
Ultrahochfrequent
C5-8NT
Pädiatrie, Kardiologie, Gefäße
High Density
Extreme High Density
Einkristall
X+ Crystal Signature
PowerView
Weitwinkel
Biopsie-Kit verfügbar
Ultrahochfrequent
C5-8N
Pädiatrie, Kardiologie, Gefäße
High Density
Extreme High Density
Einkristall
X+ Crystal Signature
PowerView
Weitwinkel
Biopsie-Kit verfügbar
Ultrahochfrequent
SL3-19H
MSK, Mamma, Schilddrüse, Testikel, Gefäße
High Density
Extreme High Density
Einkristall
X+ Crystal Signature
PowerView
Weitwinkel
Biopsie-Kit verfügbar
Ultrahochfrequent
SL3-19X
MSK, Mamma, Schilddrüse, Testikel, Gefäße
High Density
Extreme High Density
Einkristall
X+ Crystal Signature
PowerView
Weitwinkel
Biopsie-Kit verfügbar
Ultrahochfrequent
L3-12X
Karotis, periphere Gefäße, Schilddrüse, MSK, Mamma
High Density
Extreme High Density
Einkristall
X+ Crystal Signature
PowerView
Weitwinkel
Biopsie-Kit verfügbar
Ultrahochfrequent
L3-12HWD
Karotis, periphere Gefäße, Schilddrüse, MSK, Mamma
High Density
Extreme High Density
Einkristall
X+ Crystal Signature
PowerView
Weitwinkel
Biopsie-Kit verfügbar
Ultrahochfrequent
L3-12H
Karotis, periphere Gefäße, Schilddrüse, MSK, Mamma
High Density
Extreme High Density
Einkristall
X+ Crystal Signature
PowerView
Weitwinkel
Biopsie-Kit verfügbar
Ultrahochfrequent
L3-12T
Karotis, periphere Gefäße, Schilddrüse, MSK, Mamma
High Density
Extreme High Density
Einkristall
X+ Crystal Signature
PowerView
Weitwinkel
Biopsie-Kit verfügbar
Ultrahochfrequent
L3-15H
Karotis, periphere Gefäße, Schilddrüse, MSK, Mamma
High Density
Extreme High Density
Einkristall
X+ Crystal Signature
PowerView
Weitwinkel
Biopsie-Kit verfügbar
Ultrahochfrequent

Wir sind für Sie da.

Sie haben Fragen oder möchten ein unverbindliches Angebot anfordern?