E-Mail schreiben 0811 998286-0 Instagram

Ultraschalldiagnostik in der Frauenheilkunde – Präzision und Komfort vereint

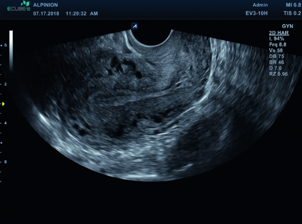
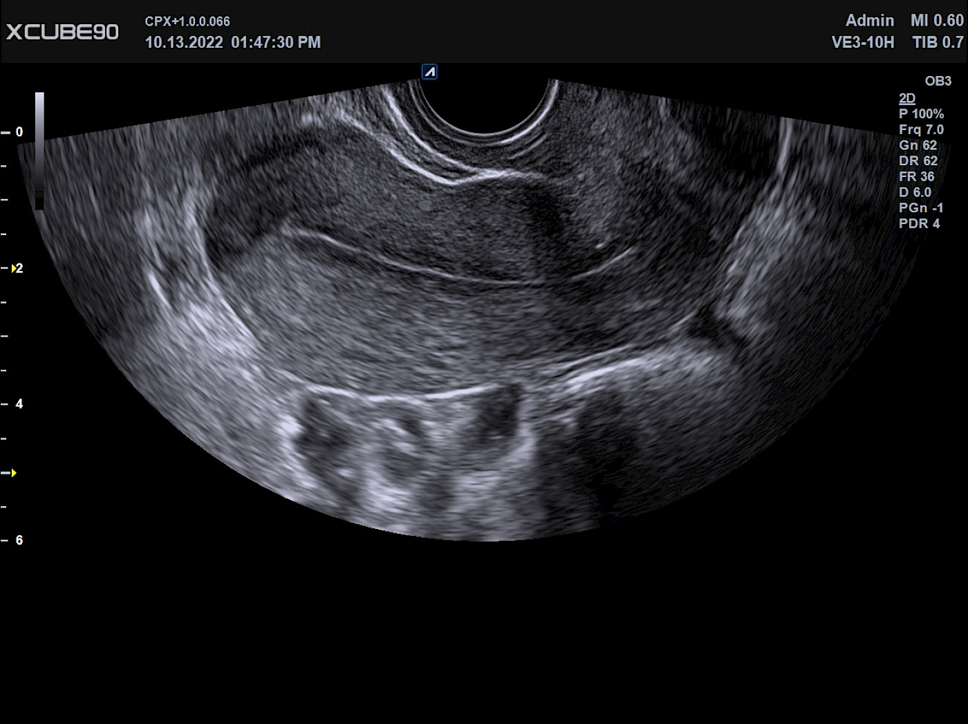
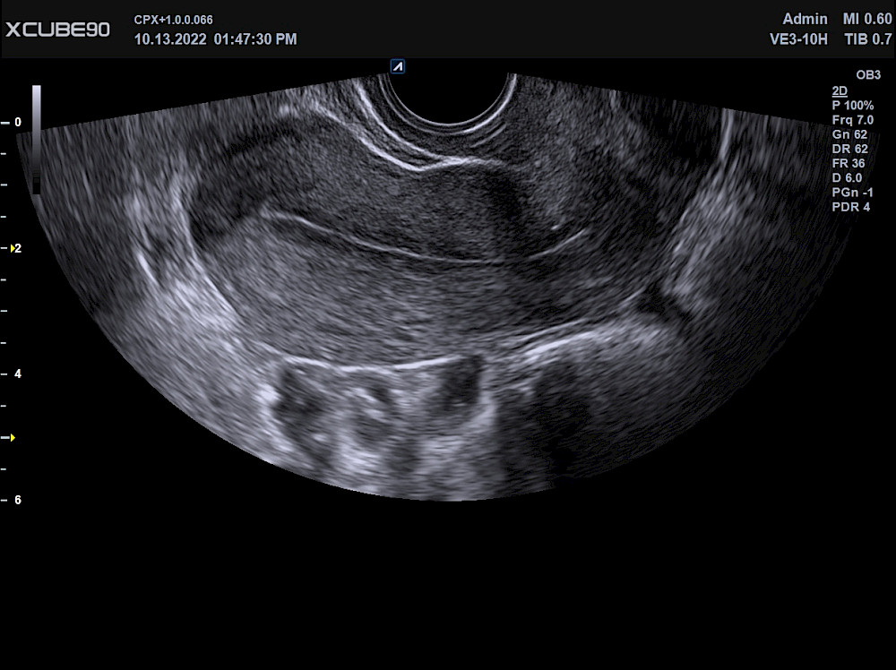
Die moderne Frauenheilkunde erfordert erstklassige Bildqualität, Bedienkomfort und Vielseitigkeit. Mit innovativer Ultraschalltechnologie unterstützt ALPINION Gynäkologinnen und Gynäkologen zuverlässig im Praxis- und Klinikalltag. Unsere Systeme bieten hochauflösende Bilder für transabdominale, transvaginale und Mammasonografie – für eine schnelle, sichere und präzise Diagnostik in jeder Phase der Frauengesundheit.

Warum ALPINION
in der Frauenheilkunde?

Für exzellente Bildqualität und höchste Präzision in der gynäkologischen Diagnostik.

  • Kristallklare Bildgebung selbst feinster Strukturen
  • Ergonomisches Design für entspanntes Arbeiten im Alltag
  • Speziell entwickelte Endokavitärschallköpfe für maximalen Patientinnenkomfort
  • Fortschrittliche Doppler-Technologie zur optimalen Gefäßdarstellung und Diagnostik
  • Intuitive Benutzeroberfläche für effiziente Abläufe in Praxis und Klinik

Unsere Systeme für Ihre Anforderungen

X-CUBE 90 with Elite

Die neue Generation der High-End Farbdoppler
mehr

X-CUBE 70

Hier steht eine kurze Info zum Produkt. Mehr Infos.
mehr

Optimale Sonden
für alle Anwendungen
in der Frauenheilkunde

Ein großer Vorteil von ALPINION: Schallköpfe werden bei ALPINION entwickelt und gefertig, so dass sie perfekt auf die Systeme abgestimmt sind.

EC2-11H
Urologie, Geburtshilfe, Gynäkologie, fetales Echo
High Density
Extreme High Density
Einkristall
X+ Crystal Signature
PowerView
Weitwinkel
Biopsie-Kit verfügbar
Ultrahochfrequent
EV2-11H
Geburtshilfe, Gynäkologie, fetales Echo, Urologie
High Density
Extreme High Density
Einkristall
X+ Crystal Signature
PowerView
Weitwinkel
Biopsie-Kit verfügbar
Ultrahochfrequent
EC3-10T
Urologie, Geburtshilfe, Gynäkologie, fetales Echo
High Density
Extreme High Density
Einkristall
X+ Crystal Signature
PowerView
Weitwinkel
Biopsie-Kit verfügbar
Ultrahochfrequent
EV3-10T
Geburtshilfe, Gynäkologie, fetales Echo, Urologie
High Density
Extreme High Density
Einkristall
X+ Crystal Signature
PowerView
Weitwinkel
Biopsie-Kit verfügbar
Ultrahochfrequent
SC1-6H
Abdomen, Geburtshilfe, Gynäkologie, fetales Echo
High Density
Extreme High Density
Einkristall
X+ Crystal Signature
PowerView
Weitwinkel
Biopsie-Kit verfügbar
Ultrahochfrequent
SC1-7H
Abdomen, Geburtshilfe, Gynäkologie, fetales Echo
High Density
Extreme High Density
Einkristall
X+ Crystal Signature
PowerView
Weitwinkel
Biopsie-Kit verfügbar
Ultrahochfrequent
SC2-9H
Geburtshilfe, fetales Echo
High Density
Extreme High Density
Einkristall
X+ Crystal Signature
PowerView
Weitwinkel
Biopsie-Kit verfügbar
Ultrahochfrequent
C1-6CT
Abdomen, Geburtshilfe, Gynäkologie, fetales Echo
High Density
Extreme High Density
Einkristall
X+ Crystal Signature
PowerView
Weitwinkel
Biopsie-Kit verfügbar
Ultrahochfrequent
SL3-19H
MSK, Mamma, Schilddrüse, Testikel, Gefäße
High Density
Extreme High Density
Einkristall
X+ Crystal Signature
PowerView
Weitwinkel
Biopsie-Kit verfügbar
Ultrahochfrequent
SL3-19X
MSK, Mamma, Schilddrüse, Testikel, Gefäße
High Density
Extreme High Density
Einkristall
X+ Crystal Signature
PowerView
Weitwinkel
Biopsie-Kit verfügbar
Ultrahochfrequent
L8-17H
MSK (oberflächlich), Mamma, Schilddrüse, Testikel, Gefäße
High Density
Extreme High Density
Einkristall
X+ Crystal Signature
PowerView
Weitwinkel
Biopsie-Kit verfügbar
Ultrahochfrequent
L3-12X
Karotis, periphere Gefäße, Schilddrüse, MSK, Mamma
High Density
Extreme High Density
Einkristall
X+ Crystal Signature
PowerView
Weitwinkel
Biopsie-Kit verfügbar
Ultrahochfrequent
L3-12HWD
Karotis, periphere Gefäße, Schilddrüse, MSK, Mamma
High Density
Extreme High Density
Einkristall
X+ Crystal Signature
PowerView
Weitwinkel
Biopsie-Kit verfügbar
Ultrahochfrequent
L3-12H
Karotis, periphere Gefäße, Schilddrüse, MSK, Mamma
High Density
Extreme High Density
Einkristall
X+ Crystal Signature
PowerView
Weitwinkel
Biopsie-Kit verfügbar
Ultrahochfrequent
L3-12T
Karotis, periphere Gefäße, Schilddrüse, MSK, Mamma
High Density
Extreme High Density
Einkristall
X+ Crystal Signature
PowerView
Weitwinkel
Biopsie-Kit verfügbar
Ultrahochfrequent
L3-15H
Karotis, periphere Gefäße, Schilddrüse, MSK, Mamma
High Density
Extreme High Density
Einkristall
X+ Crystal Signature
PowerView
Weitwinkel
Biopsie-Kit verfügbar
Ultrahochfrequent
VE3-10H NM
Geburtshilfe, Gynäkologie, fetales Echo, Urologie
High Density
Extreme High Density
Einkristall
X+ Crystal Signature
PowerView
Weitwinkel
Biopsie-Kit verfügbar
Ultrahochfrequent
SVC1-8H
Geburtshilfe, Gynäkologie, fetales Echo, Abdomen
High Density
Extreme High Density
Einkristall
X+ Crystal Signature
PowerView
Weitwinkel
Biopsie-Kit verfügbar
Ultrahochfrequent
VC1-6T
Abdomen, Geburtshilfe, Gynäkologie, fetales Echo
High Density
Extreme High Density
Einkristall
X+ Crystal Signature
PowerView
Weitwinkel
Biopsie-Kit verfügbar
Ultrahochfrequent

Wir sind für Sie da.

Sie haben Fragen oder möchten ein unverbindliches Angebot anfordern?